Potential surgical targets for deep brain stimulation in treatment-resistant depression
Deep brain stimulation has shown promise in the treatment of treatment resistant depression(TRD) in some small series and case reports. The definition of TRD is still a matter of debate. There isn’t one clear classification scheme of TRD. TRD shouldn’t be mixed up with pseudoresistant depression . The recent research with deep brain stimulation showed some promising results and in the future might add this treatment to the 9 steps for treatment resistant depression.
Since this treatment for TRD is in it’s infancy
The most appropriate target, optimal stimulation parameters, and long-term effects and efficacy remain uncertain.
About the targets for deep brain stimulation in treatment resistant depression some options are available:
- The reward circuitry of the ventral striatum and Nucleus Accumbens has been associated with drug addiction and depression for many years. Some case reports showed some partial effect on TRD. One case report with obsessive-compulsive disorder and concomitant major
depression and three cases with TRD. - Subgenual Cingulate Cortex: Area 25. Helen Mayberg found the switch that lifts depression in area 25, a spot deep in the cortex. This area is the key conduit of neural traffic between the thinking frontal cortex or forebrain and the central limbic region that plays a role in emotions and which appeared earlier in our evolutionary development. This area is overactive during depression or sadness. This form of DBS was doen in a Randomized Controlled Trial with 6 patients with overall response of 60%.
- Inferior Thalamic Peduncle. The ITP has proven to be hyperactive in depression, a phenomenon that reverses with effective pharmacological treatment. Successful use of this target in DBS stimulation has been published in one case report. One initial case report indicates promise, large-scale trials of implantation are necessary to determine the efficacy and safety of this target.
- Rostral Cingulate Cortex: Area 24a. No electrode has yet been implanted in the rostral cingulate cortex in humans; however, stereotactic lesioning of this area has shown beneficial effects.
- Lateral Habenula. Only used in animal models with some suggestion that functional inhibition of this area using high-frequency DBS may have therapeutic benefit
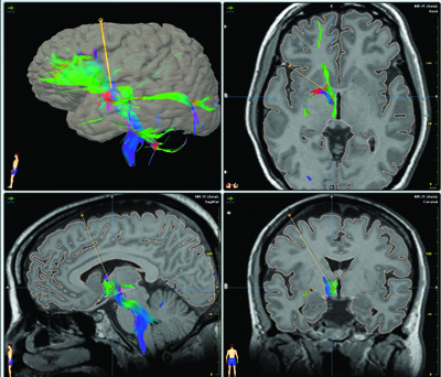
These localizations have been described on this blog in another posts: 5 different locations for deep brain stimulation in depression, but now it appears in a peer reviewed article with excelent graphics.
Only three have been tried with patients with TRD or obsessive-compulsive disorder and concomitant major depression. The other anatomical targets are tentative. The most impressive results done with a proper study design was with Broadman area 25 by Helen Mayberg.
I think the following quote by Dr. Cosgrove sums it up as far as the progress and future of DBS is concerned:
“deep brain stimulation may provide a unique opportunity to help patients who suffer horribly from the consequences of severe depression…. early efforts must go forward only with the highest ethical, moral, and scientific standards to ensure that this historic opportunity is not wasted…. much is at stake.”
What do you think?
![]()
Jason S. Hauptman, Antonio A. F. DeSalles, Randall Espinoza, Mark Sedrak, Warren Ishida (2008). Potential surgical targets for deep brain stimulation in treatment-resistant depression Neurosurgical FOCUS, 25 (1) DOI: 10.3171/FOC/2008/25/7/E3





October 25, 2008 @ 2:18 pm
Do you think the ventral tegmental area in the midbrain could be safely targeted in human patients?
November 19, 2008 @ 2:50 am
Studies (PET to target which specific area’s of brain) need to be done to figure out what area(s)in the brain changes after a total night of sleep deprivation that produces positive results for those with treatment resistant depression.
I mentioned this to Dr Mayberg and she thought it was a very interesting correlation with DBS.
New Kind of Brain Stimulation for Treatment Resistant Depression | Dr Shock MD PhD
October 20, 2009 @ 9:08 am
[…] The most appropriate target, optimal stimulation parameters, and long-term effects and efficacy remain uncertain. The targets for deep brain stimulation in treatment resistant depression has 6 options available. […]
Optimal Target for Deep Brain Stimulation for Depression | Dr Shock MD PhD
February 9, 2010 @ 8:10 am
[…] Suggestions of other brain localizations for treatment with DBS for depression comes from case reports with DBS for other indications than depression. These localizations have been described in a peer reviewed article with excelent graphics. […]
August 23, 2017 @ 10:07 am
Thank you.
I am a Psychiatry resident. Giving a lecture on DBS in Obsessive compulsive disorder. You just helped me a lot with the targets for DBS.